Investigation of the Presence of Extended Spectrum Beta Lactamase, Carbapenem and Colistin Resistances in Salmonella spp. Isolates by Phenotypic Method and PCR

Authors

  • Orkun Babacan

Keywords:

Carbapenem resistance, chicken, ESBL, Salmonella, stool

Abstract

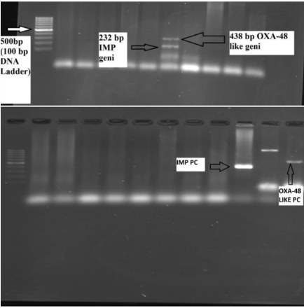
The study was aimed to investigate extended-spectrum beta lactamase (ESBL) and carbapenem resistance by phenotypically and genotypically in Salmonella spp. strains isolated from stool samples of free-range chickens between August 2018 and January 2020. Also it was aimed to investigate colistin resistance gene mcr-1 by PCR. Stool samples collected from flocks’ ground from 110 different family-type chicken flocks by veterinarians about at least 25 grams of each flocks into the sterile containers for microbiological examinations in regions and villages of Balıkesir province. Salmonella spp. isolation were done according to ISO 6579-2017 method. A total of 34 Salmonella spp. isolates were identified based on biochemical characterization and confirmed by PCR targeting the 16S rRNA gene. ESBL and carbapenem resistance investigated by conventionally according to EUCAST methods. The presence of blaTEM, blaSHV, blaCTX-M, IMP, OXA-48 like, NDM, KPC resistance genes was investigated using the polymerase chain reaction (PCR) method. Colistin resistance was investigated by PCR method to determine the presence of mcr-1 gene. One isolate (2.94%) showing a meropenem inhibition zone <25 mm and resistance to piperacillin/tazobactam was classified as carbapenem-resistant. As a result of serotyping of carbapenem resistant isolate was identified as Salmonella Infantis. PCR analysis revealed the presence of both the IMP and OXA-48-like resistance genes in this strain. Phenotypic characterization supported the genotypic findings were resistance to temocillin indicated OXA-48-like carbapenemase activity, while the detection of a synergistic effect with dipicolinic acid (DPA) in the combined disk diffusion assay confirmed the functional expression of a metallo-β-lactamase (MBL) associated with the IMP gene. To the best of our knowledge, this study represents the first report of the detection of carbapenem resistance in Salmonella spp. isolates, isolated from chicken stool in Türkiye. The presence of carbapenem resistance was detected in one Salmonella isolate, serotyped as S. Infantis.

References

Abdel-Kader F, Hamza E, Abdel-Moein KA, Sabry MA. 2022. Retail chicken giblets contaminated with extended-spectrum cephalosporin-and carbapenem-resistant Salmonella enterica carrying blaCMY-2. Veterinary world, 15(5): 1297–1304.

Akgül M, Kul S, Öksüztepe G. 2021. Salmonellozis and foods of animal origin. Fırat University Veterinary Journal of health science, 35(2): 114–119.

Babacan O, Karadeniz H. 2019. Investigation of antibiotic susceptibility of Salmonella spp. strains’ isolated from raw chicken meat. Journal of the turkish veterinary medical society, 90 (2): 105–114.

Bauer AW, Kirby WM, Sherris JC, Turck M. 1966. Antibiotic susceptibility testing by a standardized single disk method. American journal of clinical pathology, 45: 493- 496.

Bektaş A, Güdücüoğlu H, Gürsoy NC, Berktaş M, Gültepe MS, Parlak M, Otlu B, Takerekoğlu MS. 2018. Investigation of extended spectrum beta-lactamase (ESBL) genes in ESBL-producing Escherichia coli and Klebsiella pneumoniae strains. Flora the journal of ınfectious diseases and clinical microbiology, 23, 116-123.

Bénao SLCS, Métuor DA, Ouattara AK, Tiemtoré RYW, Ouédraogo N, Que B, Badini RO, Simpore J. 2024. Multidrug-resistant of Escherichia coli and Salmonella spp. strains in chicken feces ıntended for consumption in open spaces of Ouagadougou, Burkina Faso. Open journal of applied sciences, 14 (04): 881–892.

Clinical Laboratory Standards Institute (CLSI). 2020. Performance standards for antimicrobial susceptability testing. M-100, 30th. Ed. Wayne, PA 19087, USA.

Dehdashti S, Mohseni P, Ghanbarpour R, Aslani S, Moradiyan MS, Kalantar-Neyestanaki D. 2024. The emergence of carbapenem-resistance and New Delhi metallo-β-lactamase-1 (blaNDM-1) among Salmonella spp. in Kerman, Iran. Iranian journal of microbiology, 16(1):29–38.

Dishan A, Hizlisoy H, Onmaz NE, Yıldırım Y, Gönülalan Z, Al S. 2024. Comprehensive analysis of Salmonella in poultry meat and products in Türkiye: Prevalence, antibiotic susceptibility and genomic characterisation. International journal of food science and technology, 59(5): 3412-3422.

Di Taranto P, Petruzzi F, Normanno G, Pedarra C, Occhiochiuso G, Faleo S, Didonna A, Galante D, Pace L, Rondinone V, Trisolini C, Del Sambro L, Beverelli M, Catanzariti R, Caruso M, Palazzo L, Di Castri A, Parisi A. 2025. Prevalence and Antimicrobial Resistance of Salmonella Strains Isolated from Chicken Samples in Southern Italy. Microorganisms, 13(2).

European Committee on Antimicrobial Susceptibility Testing (EUCAST). 2017a. Breakpoint tables for interpretation of MICs and zone diameters. Version 9.0. Available at: http://www.eucast.org/fileadmin/src/media/ PDFs/EUCAST_files/ Breakpoint_tables/v_9.0_Breakpoint_ Tables.pdf. (Accessed September 16, 2024).

European Committee on Antimicrobial Susceptibility Testing (EUCAST). 2017b. EUCAST guidelines for detection of resistance mechanisms and specific resistances of clinical and/or epidemiological importance. Version 2.0. Available at https://www.eucast.org/fileadmin/src/media/PDFs/EUCAST_files/Resistance_mechanisms/EUCAST_detection_of_resistance_mechanisms_170711.pdf. (Accessed September 16, 2024).

European Food Safety Authority (EFSA). 2024. The European Union summary report on antimicrobial resistance in zoonotic and indicator bacteria from humans, animals and food in 2024. EFSA Journal, 22:e8583.

Hatrongjit R, Kerdsin A, Akeda Y, Hamada S. 2018. Detection of plasmid-mediated colistin-resistant and carbapenemresistant genes by multiplex PCR. MethodsX, 5: 532- 536.

Hopkins KL, Meunier D, Mustafa N, Pike R, Woodford N. 2019. Evaluation of temocillin and meropenem MICs as diagnostic markers for OXA-48-like carbapenemases. Journal of antimicrobial chemotherapy, 74, 3641–3643.

Hossain MJ, Attia Y, Ballah FM, Islam MS, Sobur MA, Islam MA, Ievy S, Rahman A, Nishiyama A, Islam MS, Hassan J, Rahman MT. 2021. Zoonotic Significance and Antimicrobial Resistance in Salmonella in Poultry in Bangladesh for the Period of 2011–2021. Zoonotic Diseases, 1(1), 3–24.

International Standard Organisation. 2017. ISO 6579: Microbiology of the food chain - Horizontal method for the detection, enumeration and serotyping of Salmonella - Part 1: Detection of Salmonella spp.

Jean SS, Lee WS, Bai KJ, Lam C, Hsu CW, Yu KW, Liao CH, Chang FY, Ko WC, Wu JJ, Chen YH, Chen YS, Liu JW, Lu MC, Liu CY, Chen RJ, Hsueh PR. 2015. Relationship between the distribution of cefepime minimum inhibitory concentrations and detection of extended-spectrum β-lactamase production among clinically important Enterobacteriaceae isolates obtained from patients in intensive care units in Taiwan: results from the Surveillance of Multicenter Antimicrobial Resistance in Taiwan (SMART) in 2007. Journal of Microbiology, Immunology and Infection, 48(1), 85-91.

Kanaan MHG, Khalil ZK, Khashan HT, Ghasemian A. 2022. Occurrence of virulence factors and carbapenemase genes in Salmonella enterica serovar Enteritidis isolated from chicken meat and egg samples in Iraq. BMC microbiology, 22(1), 1–8.

Kırkan Ş, Savaşan S, Parın U, Yüksel HT. 2017. Kanatlı yetiştiriciliğinde çoklu antibiyotik direnci ve risk yönetimi. Turkiye Klinikleri Journal of Veterinary Science Pharmacology and Toxicology -Special Topics, 3, 264-8

Kutu A. 2017. Isolatıon, Serotyping and investigation of antibiotic susceptibilities of Salmonella species in poultry. MSc Thesis. Adnan Menderes University, Health Science Institute, Department of Microbiology, Aydın province, Türkiye.

Lozano-Villegas KJ, Rondon-Barragan IS. 2024. Virulence and antimicrobial-resistant gene profiles of Salmonella spp. ısolates from chicken carcasses markets in Ibague City, Colombia. International journal of microbiology, 2024:4674138.

Mir IA, Kashyap SK, Maherchandani S. 2015. Isolation, serotype diversity and antibiogram of Salmonella enterica isolated from different species of poultry in India. Asian pacific journal of tropical biomedicine, 5 (7): 561-567.

Mondal AH, Khare K, Saxena P, Debnath P, Mukhopadhyay K, Yadav D. 2024. A Review on colistin resistance: An Antibiotic of Last Resort. Microorganisms. 12(4), 772.

Oh H, Choi Y, Lee J. 2025. Antibiotic-Resistant Salmonella in Animal Products Jeopardize Human Health. Food science of animal resources, 45(2), 409–428.

Quinn PJ, Markey BK, Carter ME, Donnelly WJ, Leonard FC. 2004. Enterobacteriaceae. in: Veterinary microbiology and microbial disease. Kundli: India Replica Press Ptv Ltd., pp. 106.

Republic of Türkiye, Ministry of Agriculture and Ministry. 2018. National Salmonella Control Programme. Available at: https://www.tarimorman.gov.tr/Konu/2083/Ulusal_Salmonella_Kontrol_Programi (Accessed May 20, 2025).

Salar MÖ, Yardımcı H, Diker KS. 2015. Bazı endüstriyel bitkilerin Salmonella serotipleri üzerindeki antimikrobiyel etkileri. Journal of the turkish veterinary medical society, 86: 9-18.

Sevük Akkaya NS, Ak S. 2023. Salmonella serovars and antibiotic resistance in chickens. Dicle university journal of faculty of veterinary medicine, 16 (2):81-86.

Şahan Ö, Aral EM, Aden MMA, Aksoy A, Yılmaz Ö, Jahed R, Akan M. 2016. Distribution and antibiotic resistance of Salmonella isolates from broiler enterprices in Turkey. Ankara üniversitesi veteriner fakültesi dergisi, 63, 1-6.

Temelli S, Kahya S, Eyigör A, Çarlı KT. 2012. Antibiotic resistance phenotypes of Salmonella isolates of broiler meat and chicken origin. Ankara üniversitesi veteriner fakültesi dergisi, 5, 107-114.

Torun E, Müştak HK. 2019. Isolation and characterization of Salmonella Infantis phages from poultry faces and environmental samples. Etlik veteriner mikrobiyoloji dergisi, 30(2): 149–157.

van Dijk K, Voets GM, Scharringa J, Voskuil S, Fluit AC, Rottier WC, Stuart JC. 2014. A disc diffusion assay for detection of class A, B and OXA-48 carbapenemases in Enterobacteriaceae using phenyl boronic acid, dipicolinic acid and temocillin. Clinical microbiology and ınfection, 20(4): 345-9.

Waktole H, Ayele Y, Ayalkibet Y, Teshome T, Muluneh T, Ayane S, Antonissen G. 2024. Prevalence, molecular detection, and antimicrobial resistance of Salmonella isolates from poultry farms across Central Ethiopia: A cross-sectional study in Urban and Peri-Urban areas. Microorganisms, 12 (4).

World Health Organisation. 2017. Available at: https://www.who.int/news/item/27-02-2017-who-publishes-list-of-bacteria-for-which-new-antibiotics-are-urgently-needed (Accessed July 28, 2025).

Yapıcıer ÖŞ, Sareyyüpoğlu B. 2022. Prevalence and rapid identification of Salmonella Infantis in broiler production in Turkey. Ankara üniversitesi veteriner fakültesi dergisi, 69 (1), 1-8.

Yıldırım M, Baş B, Babacan O. 2022. Salmonella enfeksiyonları, in: Prof. Dr. Ender Yarsan (Eds), Kanatlı Hekimliği. Güneş Tıp Kitabevleri Ltd. Şti, Ankara, Türkiye, pp.393- 404.

Yildiz M, Demirbilek SK. 2024. Investigation of prevalence and antimicrobial resistance of Salmonella in pet dogs and cats in Turkey. Veterinary medicine and science, 10(4): 1–12.

Downloads

Published

2025-12-31

How to Cite

Babacan, O. (2025). Investigation of the Presence of Extended Spectrum Beta Lactamase, Carbapenem and Colistin Resistances in Salmonella spp. Isolates by Phenotypic Method and PCR. International Journal of Veterinary and Animal Research (IJVAR), 8(3), 84–91. Retrieved from https://www.ijvar.org/index.php/ijvar/article/view/716

Issue

Section

Research Articles

Similar Articles

1 2 > >> 

You may also start an advanced similarity search for this article.